मुख हाम्रो शरीरको मुख्य ढोकाजस्तै हो। मुखलाई सफा र स्वच्छ राख्यो भने स्वास्थ्य पनि राम्रो हुन्छ। दाँत जीब्रो गिजालाई सफा र स्वस्थ राख्न आवश्यक छ। दाँतमा लाग्ने रोग दुई प्रकारका हुन्छन्। एउटा दाँतमा किरा लाग्ने हो भने अर्को गिजामा समस्या आउने हो। हामीले खाएको खानेकुरा दाँतको वरिपरि टासिन्छ, दाँत राम्रोसँग सफा गरिएन भने दिनदिनै खानेकुरा टासिँदै जान्छ।
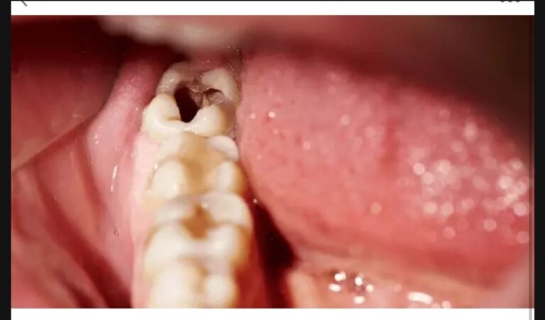
नियमित ब्रस नगर्दा दाँतको बीचमा आफूले खाएका अन्नका कणहरु बस्दछन्, जब यी कणहरु सड्न थाल्छन्, तब दाँतमा किरा लाग्न थाल्छ । किरा लागेपछि दुखाई त महशुस हुन्छ नै दाँतको जरा पनि कमजोर बन्दै जान्छ । अन्ततोगत्वा हामी हाम्रो दाँत नै गुमाउने अवस्थामा पुग्छौँ। दाँतको दुखाई एकदमै पीडादायक हुन्छ । यदि तपाईंको दाँतमा पनि किरा लागेको छ वा अत्याधिक दुखाई महशुस हुन्छ भने यी घरेलु उपायहरु अपनाएर त्यसबाट छुटकारा पाउन सक्नुहुन्छ।
१. पिसेको धुलो बेसार र नुनलाई तोरीको तेलमा मिलाउनुस् । मञ्जनजस्तै हिलो बनेको यो मिश्रणले दैनिक दुई(तीन पटक दाँतको मालिस गर्दा वा यसले ब्रस गर्दा दाँतको किरा मर्दछ ।
२. किराले खाएर खोक्रो बनेको भागमा रुवो (कपास)लाई ल्वाङको तेलमा भिजाएर राख्नुस् । यसो गर्दा दाँतमा लागेको किरा मर्दछ ।
३. तातो पानीमा फिटकिरी घोलेर बिहान-बेलुकै मुख कुल्ला गर्दा दाँतको किरा मर्नुका साथै गन्ध पनि हराएर जान्छ ।
४. किरा लागेको दाँतमा बरको चोप लागउँदा किरा मर्नुका साथै दुखाई पनि कम हुन्छ।


















